Onde Atendemos
Domicílio
Para pessoas acamadas e com dificuldade de locomoção, que sofreram quedas ou que precisam de agilidade no atendimento
Centros Médicos
Prestamos serviços à empresas de Home Care, Casas de Repouso e Clínicas de Reabilitação.
Centros Esportivos
Realizamos atendimento em Centros Esportivos e também em Concentrações Esportivas
Hotéis
Realizamos inclusive atendimento a hóspedes em Hotéis.
SOBRE A EMPRESA
A empresa nasceu da percepção de mercado de seu fundador, o tecnólogo em Radiologia Flávio Henrique.
Em 2006 ele adquiriu um aparelho portátil e iniciou o atendimento domiciliar, podemos dizer que depois que iniciou sua jornada nesta área , muitos outros técnicos se inspiraram em criar empresas no ramo.
No entanto Raio-x Domiciliar é pioneira, conta com profissionais com vasta experiência de atendimento, tecnologia sempre atual e um atendimento extremamente humanizado.
Os nossos exames são agendados, a imagem fica disponível no ato do atendimento, fator que possibilita início imediato de tratamento.
Missão
Realizar exames de raios-x com qualidade, proporcionando conforto e facilidade para o cliente através de um serviço móvel.
Visão
Ser líder e inovador na prestação de serviços de raios-x em domicílio, tornando-se referência na área de radiodiagnósticos.
Valores
Qualidade, Comprometimento, Confiabilidade, Humanização, Excelência e Respeito
Exames Realizados

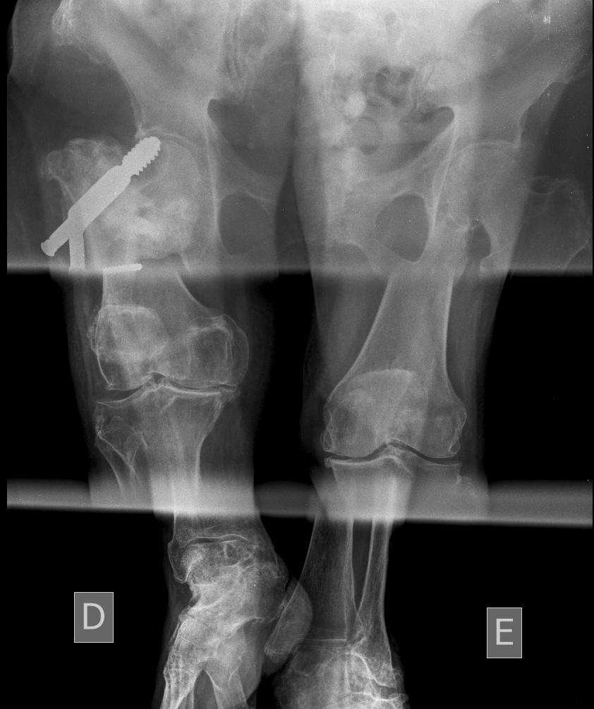
Quadril Direito

Escanometria

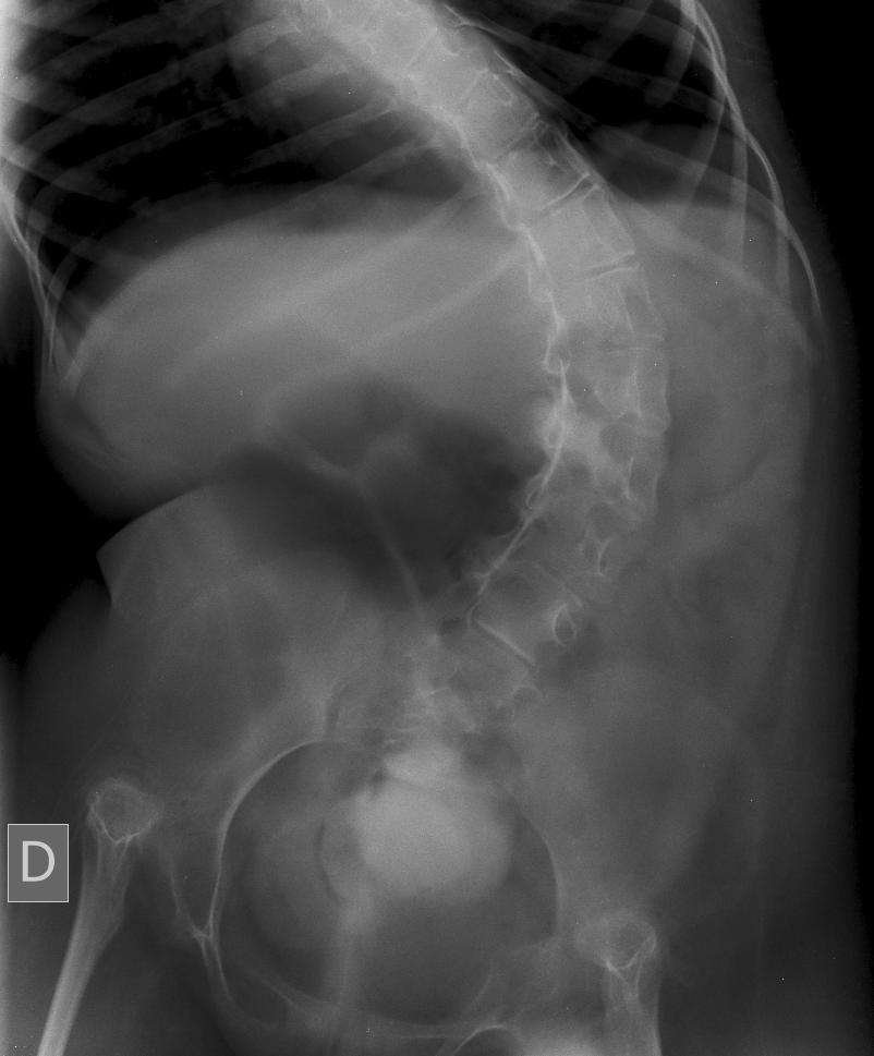
Abdomem Simples

Tórax AP

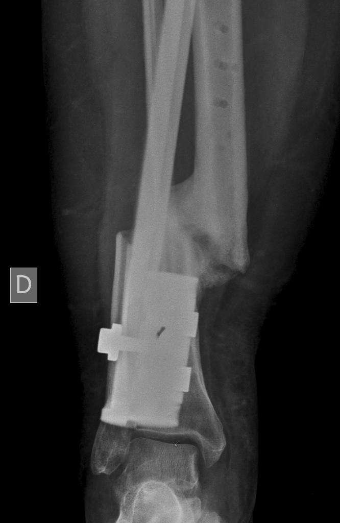
Perna direita

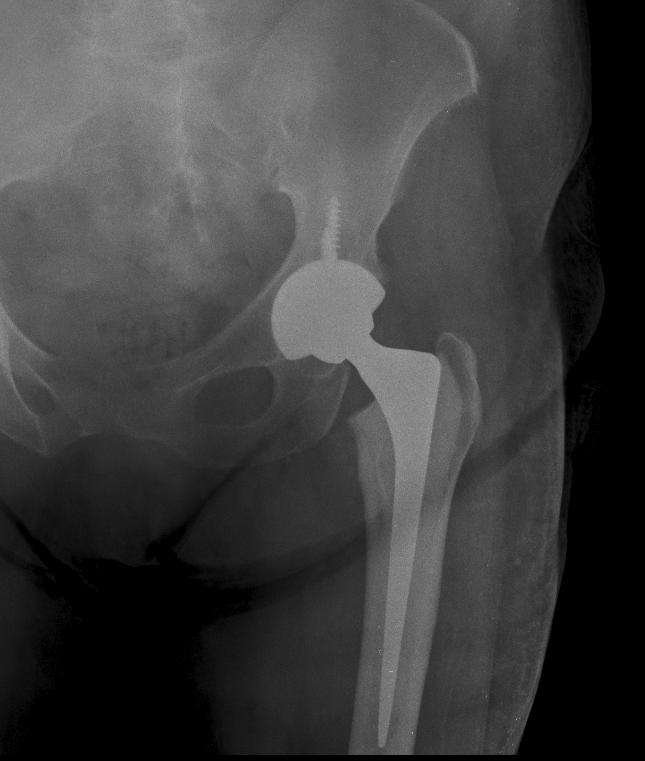
Quadril esquerdo
DÚVIDAS?
(21) 98161-6996 / (21) 98180-6088
